Creatine kinase (CK) is an enzyme that catalyzes the reversible phosphorylation of creatine by ATP. The end product, phosphocreatine, is a readily available energy source for cells. CK is present in many tissues but skeletal and heart muscles contain the highest concentrations. CK released from skeletal muscle accounts for almost all of the CK activity detected in the plasma of healthy individuals. Circulating CK is cleared by degradation in the liver and reticuloendothelial system and has a circulating half-life of 12 hours. Occasionally, measurement of CK isoenzymes may be helpful in elucidating the origin of an unexplained or persistently elevated total CK.
CK is composed of two subunits, CK-M (muscle type) and CK-B (brain type), which are combined into three distinct isoenzymes: CK-MM, CK-MB, and CK-BB. These isoenzymes can be separated and measured by electrophoresis. CK-BB isoenzyme migrates toward the anode at pH 8.6, while CK-MM remains cathodic to the application point.
The following table illustrates the isoenzyme composition of different tissues.
|
Tissue |
CK-3 (MM) (%) |
CK-2 (MB) (%) |
CK- 1 (BB) (%) |
|
Brain |
0 |
0 |
100 |
|
Heart |
60-80 |
20-40 |
0 |
|
Skeletal muscle |
96-100 |
0-4 |
0 |
Brain tissue contains predominantly CK1 (BB) and skeletal muscle contains almost exclusively CK3 (MM). The myocardium contains approximately 70% of CK3 (MM) and 30% of CK2 (MB).
CK-1 (BB) is present in highest concentrations in brain and smooth muscle, but it is also present in neuronal cells, retina, kidney and bone. CK-1 can be elevated in patients with head injury, in neonates, and in some cancers such as prostate cancer and small cell carcinoma of the lung.
CK-2 (MB) appears in serum 4 to 6 hours after the onset of pain in an MI, peaks at 18 to 24 hours, and returns to normal by 72 hours. CK-MB may also be elevated in cases of carbon monoxide poisoning, pulmonary embolism, hypothyroidism, crush injuries, and muscular dystrophy. Extreme elevations of CK-MB can be associated with skeletal muscle cell turnover as in polymyositis, and to a lesser degree in rhabdomyolysis.
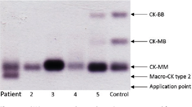
Besides the 3 CK isoenzymes, electrophoresis can also detect 2 types of macro-CK.
Macro-CK Type I is a complex of immunoglobulin, usually IgG, and CK-BB that migrates between CK-MM and CK-MB. It occurs primarily in elderly women and causes a persistent elevation of plasma CK activity because the large complex is not cleared.
Macro-CK Type II represents mitochondrial CK that migrates slightly cathodic of MM. It is usually only detected in severely ill patients with liver disease, malignancies or hypoxic injury.
References
Blomberg, DJ et al. Creatine kinase isoenzymes, Am J Med. 1975;59(4), 464-469
Rajappa M, Sharma A. Biomarkers of cardiac injury: an update. Angiology. 2005 Nov-Dec. 56(6):677-91

How to resolve AdBlock issue?