Hemophagocytic lymphohistiocytosis (HLH) is a syndrome is a syndrome of excessive inflammation and tissue destruction due to abnormal immune activation and excessive inflammation. It is most common in infants and young children but can affect patients of any age, with or without a predisposing familial condition. HLH presents as a febrile illness associated with multiple organ involvement.
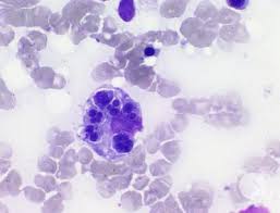
In HLH, natural killer cells and/or cytotoxic T lymphocytes fail to down-regulate activated macrophages. This lack of normal feedback regulation results in excessive macrophage activity and highly elevated levels of interferon gamma plus other cytokines. Hemophagocytosis refers to the engulfment of red blood cells, platelets, and white blood cells by macrophages. The image below shows a bone marrow macrophage phagocytosing nucleated RBC and platelets.
Diagnostic criteria include fever (95% of patients), splenomegaly (89%), bicytopenia (92%), hypertriglyceridemia or hypofibrinogenemia (90%), hemophagocytosis (82%), low or absent natural-killer (NK)–cell activity (71%), elevated soluble CD25 (interleukin-2 receptor α chain) level (71%), and ferritin level greater than 500 ng per milliliter (94%).
Because adults are less likely than infants and children to have primary HLH and more likely to have an underlying predisposing disease, alternative criteria for the diagnosis of HLH have been defined. These criteria include fever, organomegaly, cytopenias, elevated ferritin levels, elevated lactate dehydrogenase levels, the presence of hemophagocytosis in the bone marrow aspirate, and most important, the presence of an underlying predisposing condition, such as a hematologic cancer or infection.
The triggers for HLH are all associated with dysregulation of the immune system and include immunodeficiency syndromes (e.g., the Chédiak–Higashi syndrome or Griscelli’s syndrome), rheumatologic disorders, HIV infection, Epstein–Barr virus infection, and hematologic malignancy. The distinction between primary and secondary HLH is not always useful, since both are often triggered by infections and both often have underlying genetic mutations that can confer a predisposition to the syndrome.
Laboratory findings include cytopenia, especially anemia and thrombocytopenia. Very high serum ferritin levels (>10,000 ng/mL) are commonly seen because macrophages are a primary source of ferritin. Nearly all patients with HLH have elevated liver enzymes, which usually exceed three times the upper limit of the normal range. LDH is elevated in more than 85% of cases. Bilirubin ranges between 3 and 25 mg/dL. Hypertriglyceridemia accompanies hepatic injury. Likewise, prothrombin time may become elevated after significant hepatic injury. Some patients develop disseminated intravascular coagulation.
Peripheral blood T cell subsets show a normal helper/suppressor ratio, with low numbers of B cells and variable immunoglobulin levels. Bone marrow examination has demonstrated hemophagocytosis in 25% to 100% of cases. Marrow infiltration by macrophages may also be seen.
Abnormalities in some esoteric tests have also been reported. Findings include elevated soluble IL-2 receptor alpha (sCD25); reduced NK function or cell surface expression of CD107alpha; and elevated levels of the soluble hemoglobin-haptoglobin scavenger receptor (sCD163).
Genetic defects play a major role in childhood HLH and are increasingly found in adult cases. Genetic testing is indicated in all patients that meet the HLH diagnostic criteria. Several of the gene mutations in HLH map to familial hemophagocytic lymphohistiocytosis (FLH) loci. FHL loci include FHL1, FHL2, FHL3, FHL4, and FHL5. Additional genetic loci for HLH include GS2; CHS1, HSP2, XLP1, and XLP2.
The gene mutation for FLH1 is unknown. FHL2 results from mutations in the PRF1 gene, which encodes perforin. Perforin is delivered in cytolytic granules and forms pores in the membrane of target cells. Mutations in other genes that affect perforin expression have also been reported. FHL3 results from mutations in the UNC13D gene, which encodes Munc13-4. Proteins of the Unc (uncoordinated) family regulate cytolytic granule maturation. FHL4 results from mutations in the STX11 gene, which encodes Syntaxin 11. Syntaxins control granule exocytosis. Several Syntaxin mutations were reported in a group of Kurdish families with HLH. FHL5 results from mutations in the STXBP2 gene, which encodes Munc18-2 (also called Syntaxin binding protein 2). This protein binds to Syntaxin 11 and promotes the release of cytotoxic granules.
References
Henter J-I, Horne A, Aricó M, et al. HLH-2004: diagnostic and therapeutic guidelines for hemophagocytic lymphohistiocytosis. Pediatr Blood Cancer 2007;48:124-131.
Hejblum G, Lambotte O, Galicier L, et al. A Web-based Delphi study for eliciting helpful criteria in the positive diagnosis of hemophagocytic syndrome in adult patients. PLoS One 2014;9(4):e94024-e94024.
Rivière S, Galicier L, Coppo P, et al. Reactive hemophagocytic syndrome in adults: a retrospective analysis of 162 patients. Am J Med 2014;127:1118-1125.
Otrock ZK, Hock KG, Riley SB, de Witte T, Eby CS, Scott MG. Elevated serum ferritin is not specific for hemophagocytic lymphohistiocytosis. Ann Hematol 2017;96:1667-1672.

How to resolve AdBlock issue? 