Diagnosis and separation of mantle cell lymphoma (MCL) from other small cell non-Hodgkin lymphomas is important because it is considered one of the most aggressive lymphomas which often requires high-dose chemotherapy and potential autologous stem cell transplant, especially in younger patients. MCL accounts for 3 to10% of non-Hodgkin lymphomas. The characteristic lesion defining MCL is a IGH/CCND1 translocation, resulting in up-regulation of cyclin d1 protein. Detection of cyclin d1 by immunohistochemistry and/or demonstration of IGH/CCND1 gene fusion by fluorescence in situ hybridization (FISH) is imperative for diagnosis.
Unfortunately, 10% of cases are negative for cyclin d1 and/or IGH/CCND1 translocation, in spite of being morphologically and immunophenotypically indistinguishable from conventional MCL. This discrepancy poses a diagnostic dilemma. Global gene expression profiling studies have revealed similar expression profiles in both cyclin d1 positive and negative MCL cases. Over-expression of other cyclin d proteins including d2 and d3 have been reported in cyclin d1 negative MCL, but testing for such over-expression is not widely available and is fraught with interpretive problems.
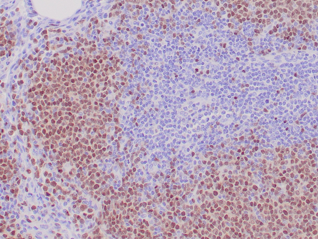
SOX11 is a transcriptional factor normally expressed in embryonic central nervous system but not in adult tissues. Over-expression of SOX11, has been demonstrated in certain malignancies including ovarian cancer, medulloblastoma, and malignant glioma. More recent studies have shown that both SOX11 mRNA and protein are also up-regulated in lymphoblastic lymphoma, Burkitt’s lymphoma, and MCL independent of cyclin d1 status. The first two types of lymphoma are easily distinguished from MCL by morphology and immunophenotype, which makes SOX11 a very useful biomarker for diagnosis of cyclin d1 negative MCL.
Sox11 can be detected in tissue sections by immunohistochemistry. Specimen requirement is a formalin-fixed, paraffin-embedded tissue block or unstained glass slides.
References
Chen YH, Gao J, Fan G, Peterson LC. Nuclear expression of sox11 is highly associated with mantle cell lymphoma but is independent of t(11;14)(q13;q32) in non-mantle cell B-cell neoplasms. Mod Pathol. 2010;23(1):105-112.
Ek S, et al. Nuclear expression of the non B-cell lineage Sox11 transcription factor identifies mantle cell lymphoma. Blood. 2008;111(2):800-805.
Mozos A, et al. SOX11 expression is highly specific for mantle cell lymphoma and identifies the cyclin D1-negative subtype, Haematologica. 2009;94(11):1555-1562.

How to resolve AdBlock issue?